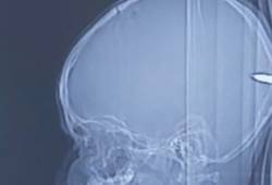
| Israeli Doctors Remove Mystery Bullet from Arab Boy’s Brain; Facebook Blocks Rabbi for Teaching Spiritual Aspect of Corona; Latest from Israel! |
THE BLOG OF NEVILLE STEPHENS TO WARN PEOPLE THAT JESUS CHRIST IS COMING BACK TO EARTH SOON, AND THAT THE RAPTURE OF THE CHURCH TO HEAVEN IS VERY CLOSE AT HAND.YESHUA IS COMING SOON AND IS NOW SHAKING THE WORLD (HAGGAI 2:6) TO DRAW PEOPLE UNTO HIMSELF. IT IS NOT THE WILL OF GOD FOR ANY PERSON TO PERISH, SO NOW IS THE TIME TO TURN TO JESUS FOR SALVATION!






No comments:
Post a Comment